Graves' disease - Case 1049
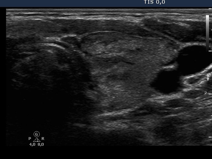
Follow-up investigation 32 months after first visit (ultrasonographic picture 4)
Patient 14 months after discontinuation of thyrostatic therapy in hyperthyroid state
|
|
|
|
Left lobe, transverse view. This lobe is minimally hypoechogenic.
