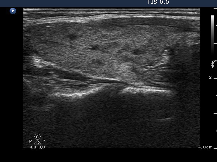
Graves' disease - Case 1049
Follow-up investigation 33 months after first visit (ultrasonographic picture 5)
Patient on daily 20 mg methimazole therapy in euthyroid state
|
|
|
|
Left lobe, longitudinal scan. There are small hypoechogenic areas within the echonormal lobe.
