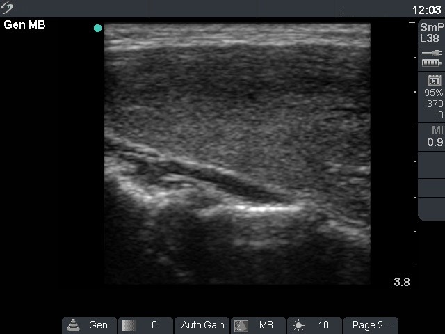
Graves' disease - Case 1049
Follow-up investigation 12 months after first visit (ultrasonographic picture 2)
Patient on daily 10 mg methimazole therapy in euthyroid state
|
|
|
|
Right lobe, longitudinal scan.
