Prev

Graves' disease - Case 1080

Next

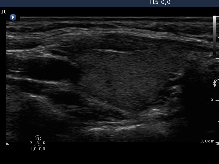
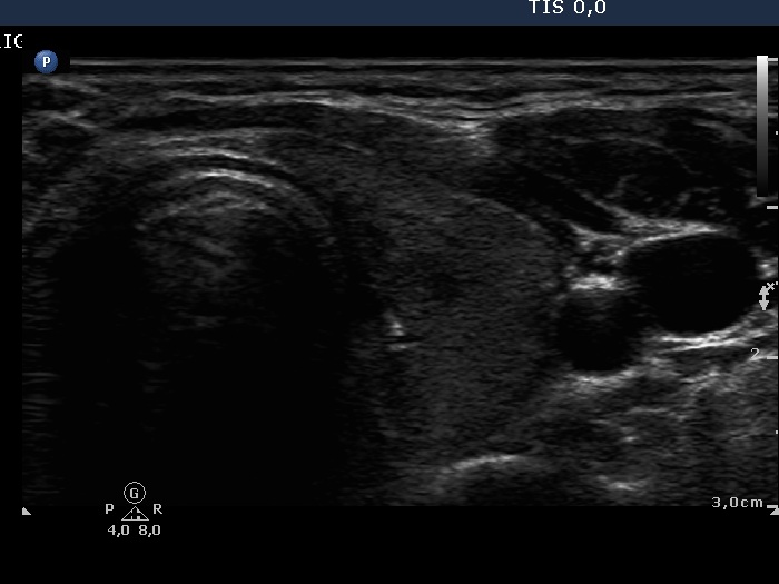
First examination (1st row of images)

Clinical data: A 29-year-old woman requested a second opinion. She was treated for Graves' disease for 2 months. The TSAb was initially 8.9 U/L, the FT4 was 54.2 pM/l. She get 30 mg methimazole therapy. Her complaints have already decreased.

Palpation: no abnormality.

Results of blood test: hyperthyroidism - TSH undetectable, FT4 29.2 pM/L, FT3 8.91 pM/L.

Ultrasonography: The thyroid was minimally enlarged and moderately hypoechogenic. The vascularization was a bit increased.

The dose of methimazole was reduced to daily 15 mg.

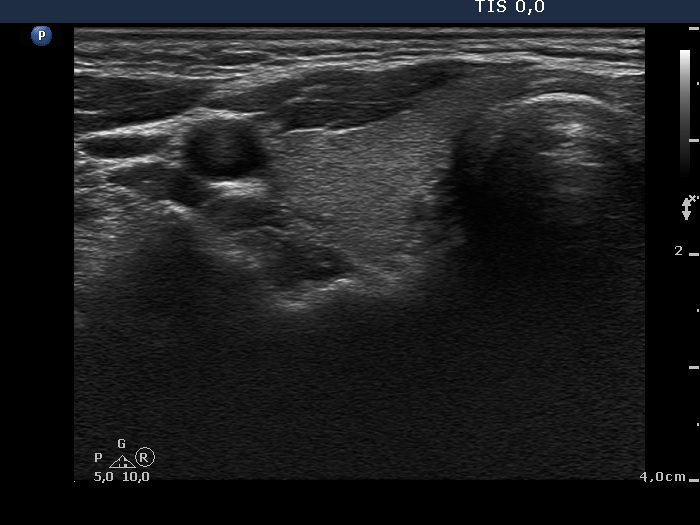
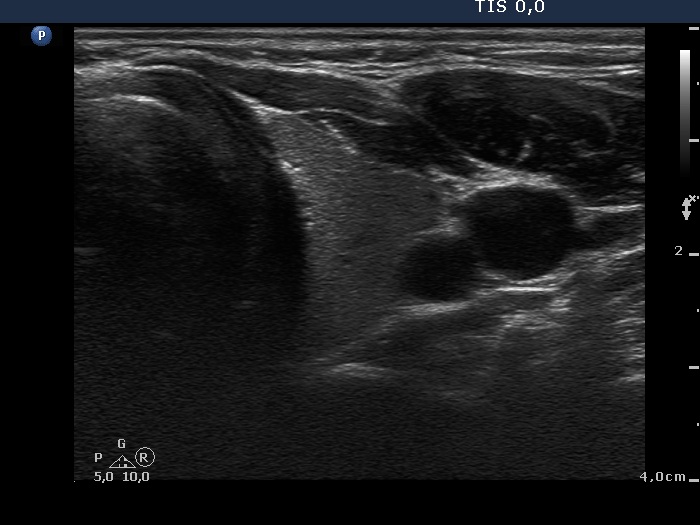
Second examination 9 months later (2nd row of images)

Clinical data: The patient had no complaints except for a 6 kg weight in gain.

Palpation: unchanged.

Results of blood tests: euthyroidism on daily 10 mg methimazole (TSH 3.58 mIU/L, FT4 12.7 pM/L).

Ultrasonography: Compared with the first examination, the thyroid has decreased in size and the echo structure became less hypoechogenic. The vascularization remained unchanged.

Suggestion: daily 5 mg methimazole.

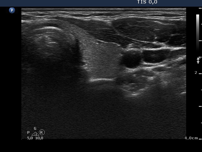
Third examination 24 months after initial investigation (3rd row of images)

Clinical data: The thyrostatic therapy was stopped 13 months ago. The patient had no complaints.

Palpation: unchanged.

Results of blood tests: euthyroidism (TSH 0.52 mIU/L, FT4 14.6 pM/L).

Ultrasonography: The size of the thyroid decreased further. The echo structure and the vascularization became normal.

Suggestion: to check the thyroid function every year, in the event of complaints or pregnancy at once.

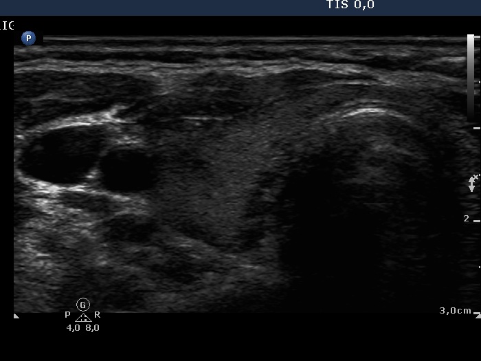
Comment. This case demonstrates typical course of non-relapsing Graves disease. The change in hormone levels and in the ultrasound pattern are parallel.

 

 

 

 

.

 
mask