Menu
2022-23 Advanced Papillon Course
Home
Case of the Month
Webinars
1 Introduction
2 Nodular goiter
3 Non-nodular thyroid
Graves' disease
Chapter Home
Introduction
Manual
Courses
Cases
Videolibrary
4 Non-thyroid neck
5 US-interventions
6 Advanced courses
7 Related topics
Supplement
Graves' disease - case 1147
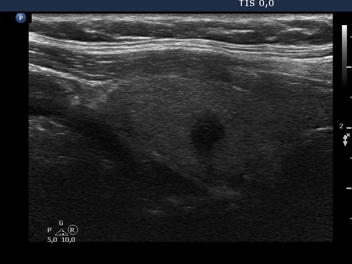
Follow-up examination six years after the first visit (ultrasonographic picture 3)
Right lobe, another longitudinal scan.