Graves' disease - case 1191 (cytologic picture 1)


Back to Case Maximize Next picture

Right lobe, longitudinal scan

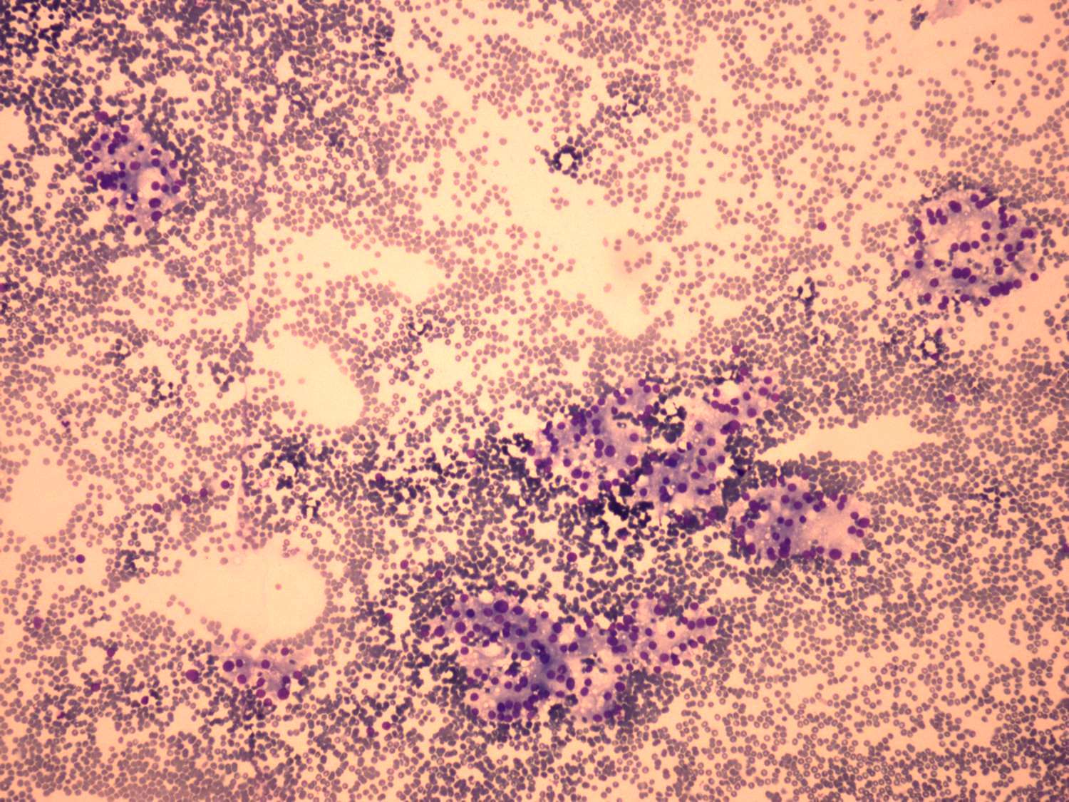
Wright-Giemsa staining, 100x.   There is no colloid in the background. Follicular cells are located in normo- and microfollicles.

 

 

 

mask