Graves' disease - case 1191 (cytologic picture 6)


Previous picture Back to Case Maximize  

Right lobe, longitudinal scan

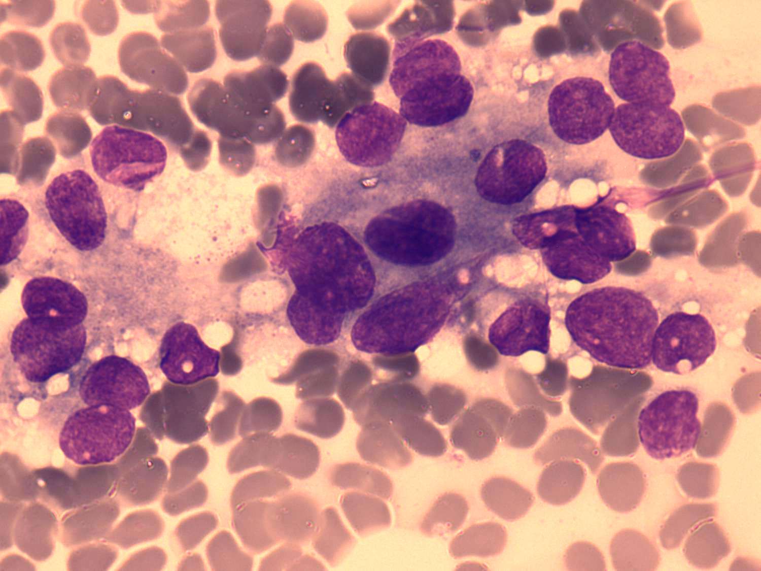
Wright-Giemsa staining, 1000x.   Vacuolization, anisonucleosis and degenerative forms are remarkable.

 

 

 

mask