Graves' disease - case 158 (ultrasonographic picture 2)


Previous picture Back to Case Next picture

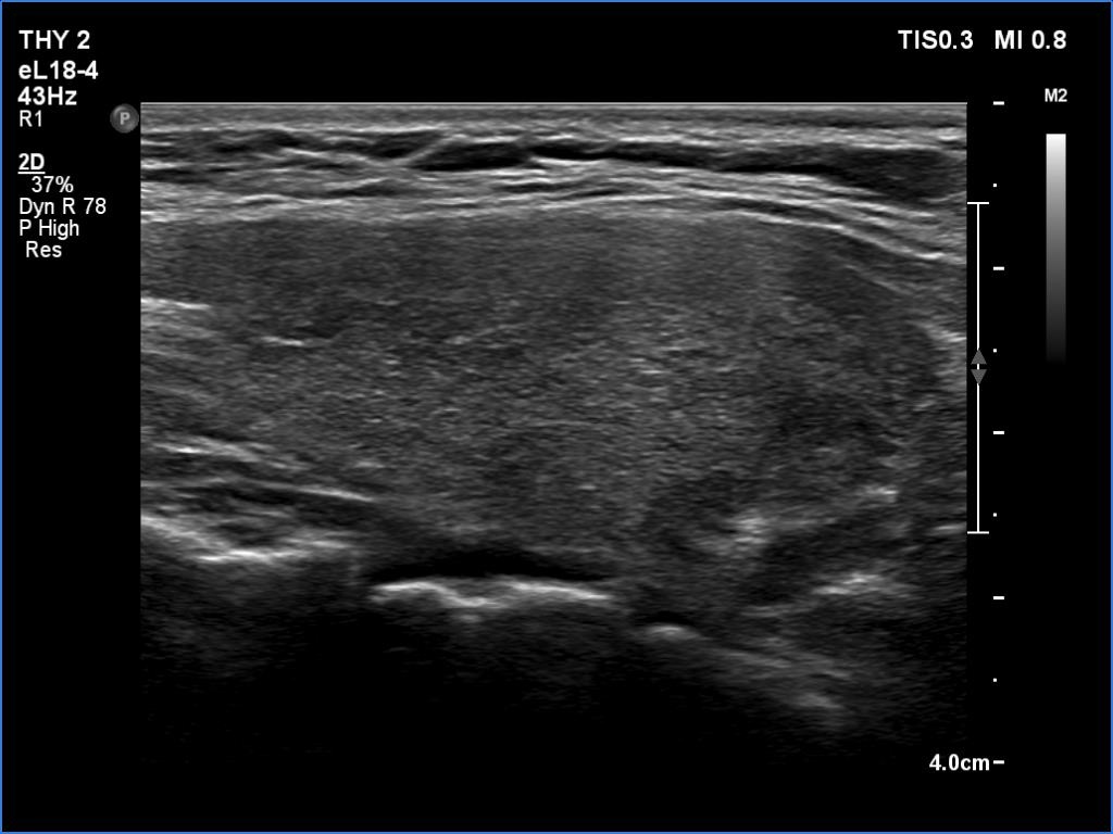
Right lobe, longitudinal scan

Right lobe, longitudinal scan. The hypoechoic areas correspond to more active foci of the underlying autoimmune process.

 

 

 

 

 

 

mask