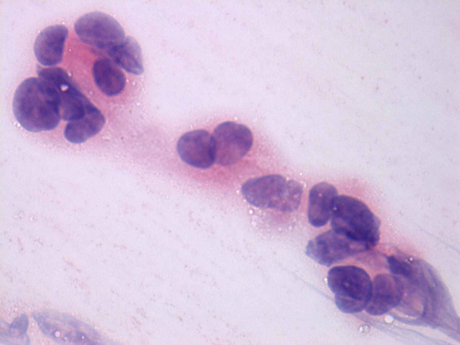
Graves' disease - case 195 (cytologic picture 6)
|
|
|
|
Pap-smear, 1000x. Oxyphilic cells display anisonucleosis and mild degree of pleomorphism but do neither inclusions nor grooves nor prominent nucleoli.

