Graves' disease - case 2513 (ultrasonographic picture 2)


Previous picture Back to Case Next picture

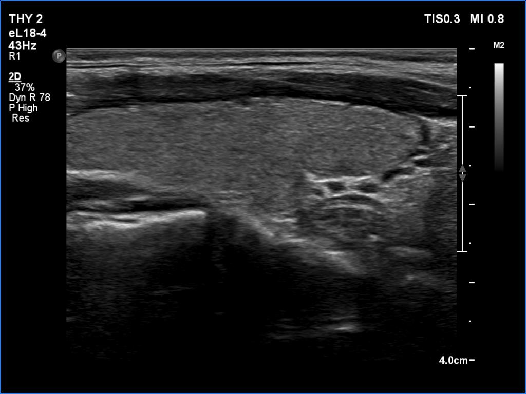
Right lobe, longitudinal scan

Right lobe, longitudinal scan. The thyroid does not show any signs of an autoimmune thyroid disorder.

 

 

 

 

 

 

mask