Graves' disease - case 2513 (ultrasonographic picture 4)


Previous picture Back to Case Next picture

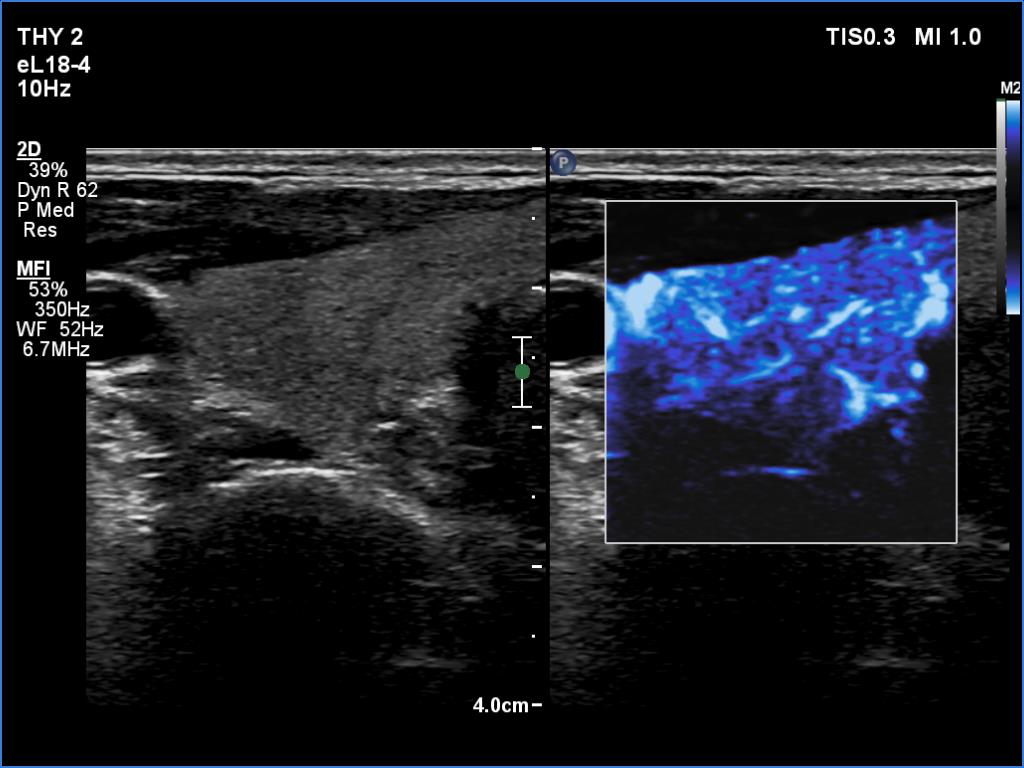
Right lobe, longitudinal scan

Right lobe, transverse scan, microflow imaging. The vascularity is not increased.

 

 

 

 

mask