Graves' disease - case 2513 (ultrasonographic picture 8)


Previous picture Back to Case Next picture

Right lobe, longitudinal scan

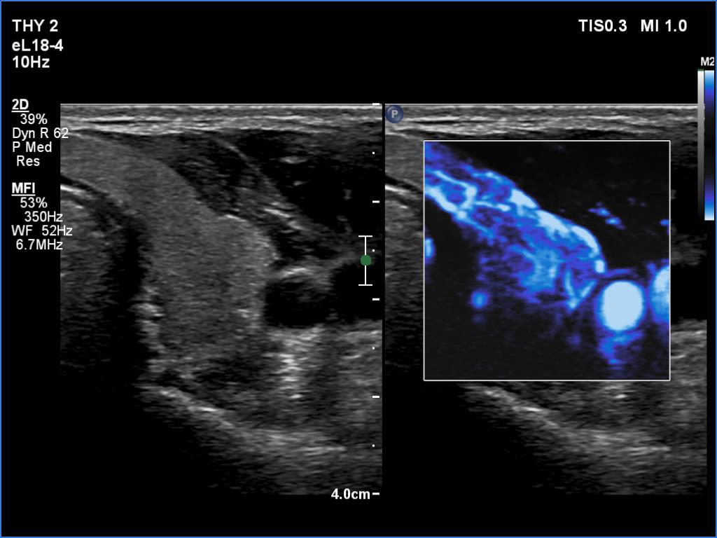
Left lobe, transverse scan, microflow imaging. There are more vessels in this lobe than in a usual case.

 

 

 

 

mask