Graves' disease - Case 36 (cytologic picture 3)


Previous picture Back to Case Maximize Next picture


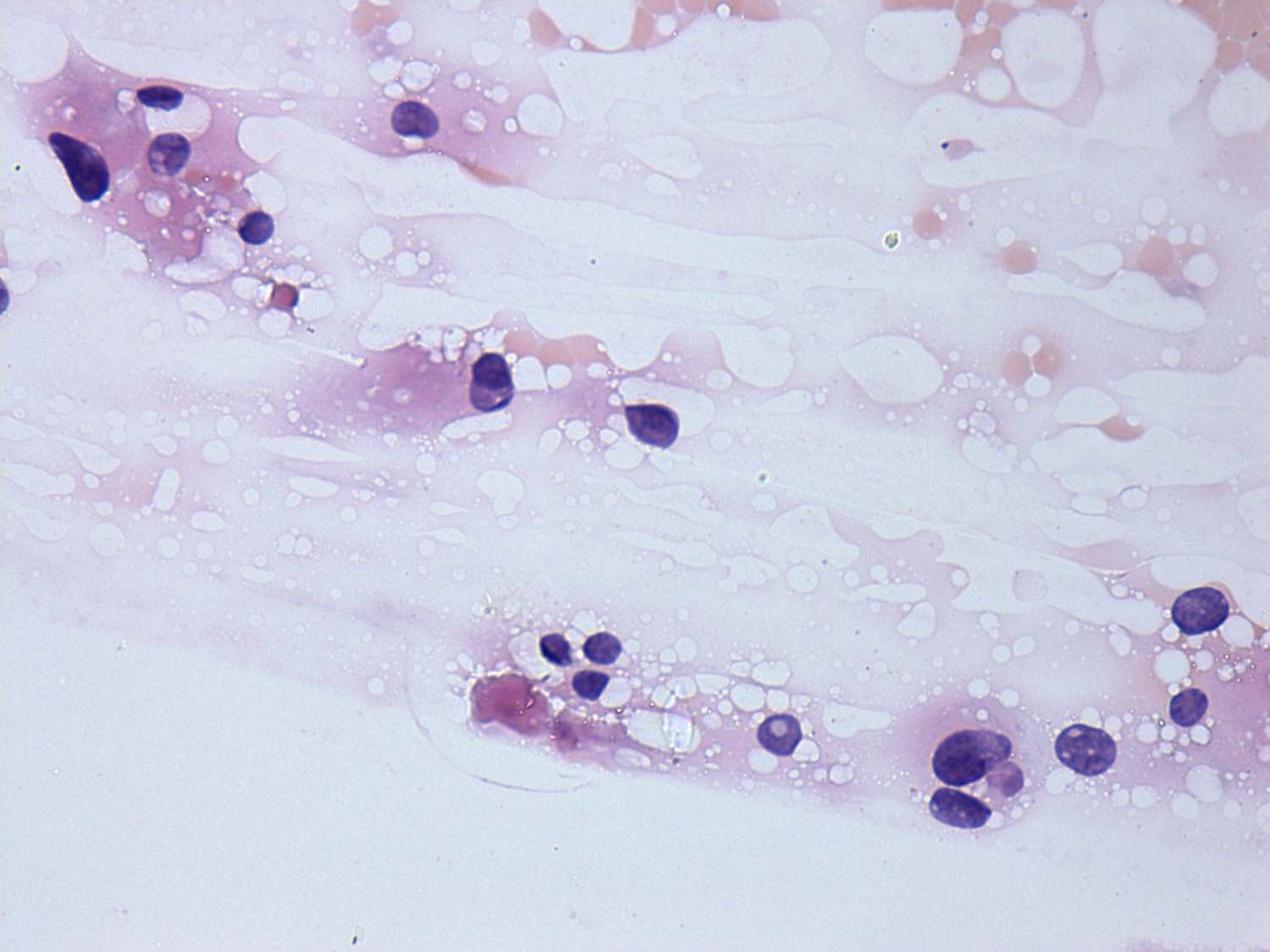
Pap-smear, 400x.   Note vacuolization as sign of dysfunction.

mask