Graves' disease - case 530

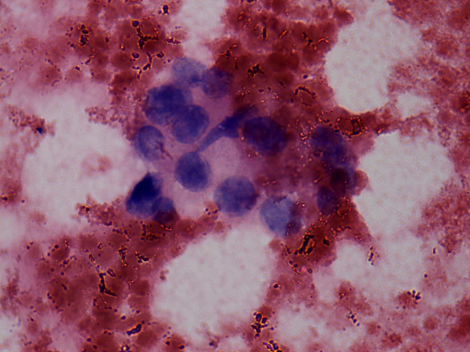
Follow-up investigation 21 months after the first one (cytologic picture 5)


Previous picture Back to Case Maximize  


Pap-smear, 1000x.   Intact follicular cells present no significant atypia.

mask