Graves' disease - case 612 (cytologic picture 6)


Previous picture Back to Case Maximize  

Right lobe, longitudinal scan

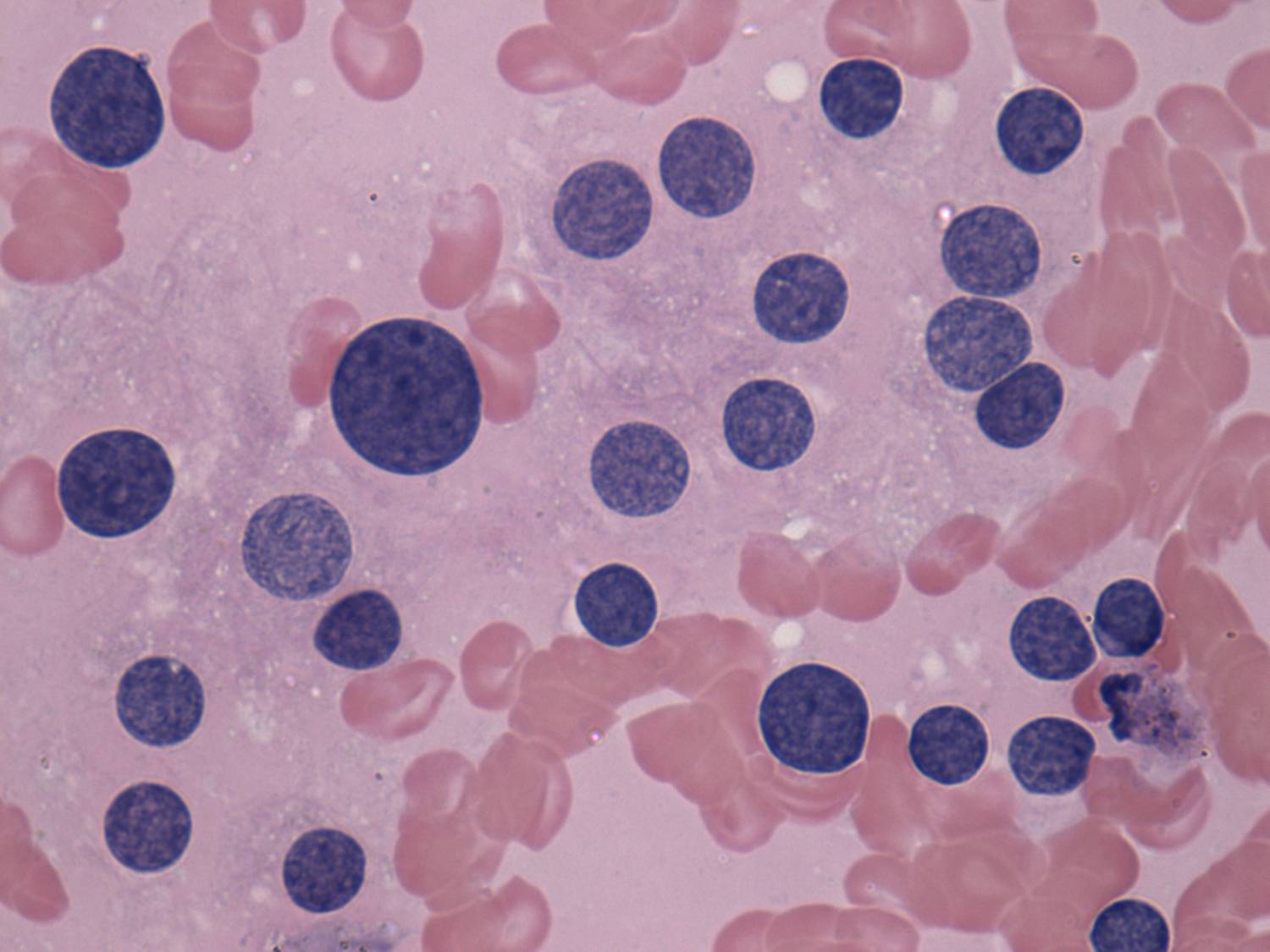
Pap-smear, 1000x.   The chromatin structure is blunt.

 

 

 

mask