Graves' disease - case 799

Follow-up investigation 4 months after the initial one (ultrasonographic picture 3)


Previous picture Back to Case Next picture

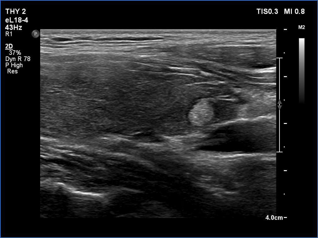
Right lobe, longitudinal scan

Lower part of the right lobe. The discrete lesion reamined unchanged.

 

 

 

 

 

 

mask