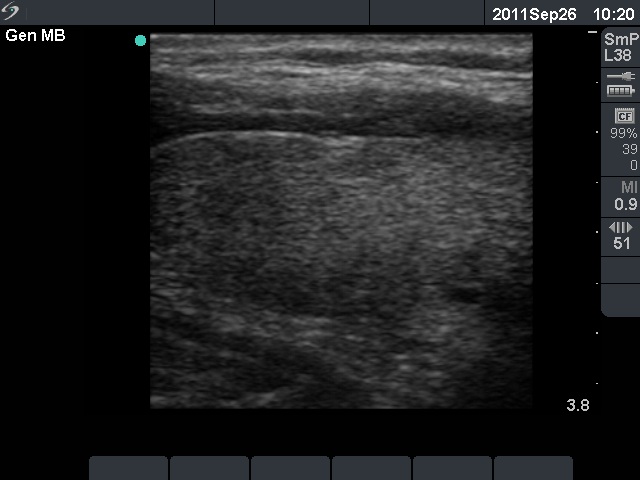
Graves' disease - case 930 (ultrasonographic picture 5)


Previous picture Back to Case Next picture

Right lobe, longitudinal scan

Left lobe, longitudinal scan. Moderately hypoechogenic areas are demonstrated.

 

 

 

 

mask