Graves' disease - case 940
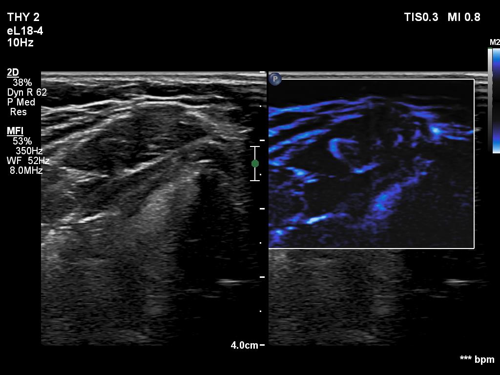
Follow-up investigation 6 months after first visit (ultrasonographic picture 8)
|
|
|
|
Middle part of the neck, 4 cm above the thyroid, longitudinal scan, microflow imaging. The lesion has vessels.
