Lymphocytic thyroiditis - case 1298 (ultrasonographic picture 7)


Previous picture Back to Case Next picture

Right lobe, longitudinal scan

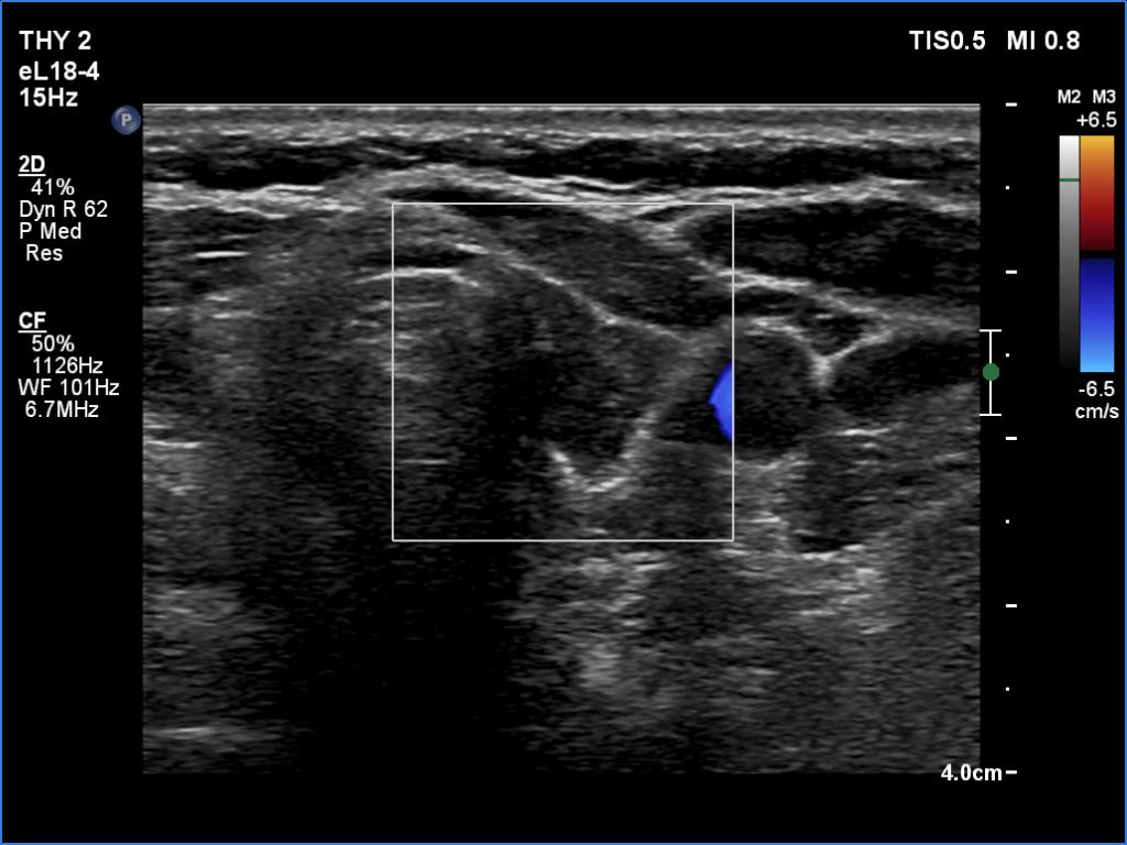
Left lobe, transverse view, color Doppler mode. This lobe is also avascular.

 

 

 

 

mask