Lymphocytic thyroiditis - case 188
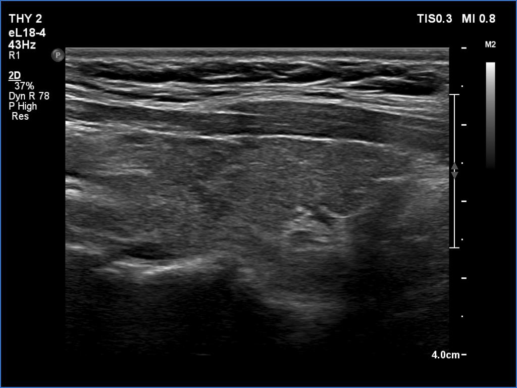
Follow-up investigation 2 years after the first visit (ultrasonographic picture 2)
|
|
|
|
Right lobe, longitudinal scan. There are several more hypoechoic areas.
