Lymphocytic thyroiditis - case 188
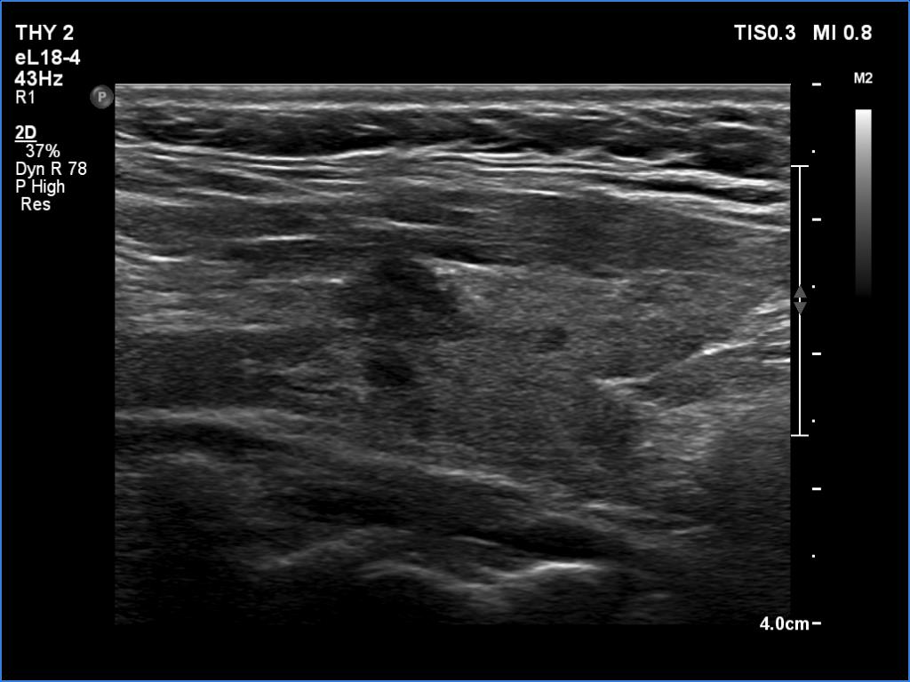
Follow-up investigation 2 years after the first visit (ultrasonographic picture 4)
|
|
|
|
Left lobe, longitudinal scan. The larger hypoechoic lesion remained unchanged.
