Lymphocytic thyroiditis - case 188 (ultrasonographic picture 4)


Previous picture Back to Case Next picture

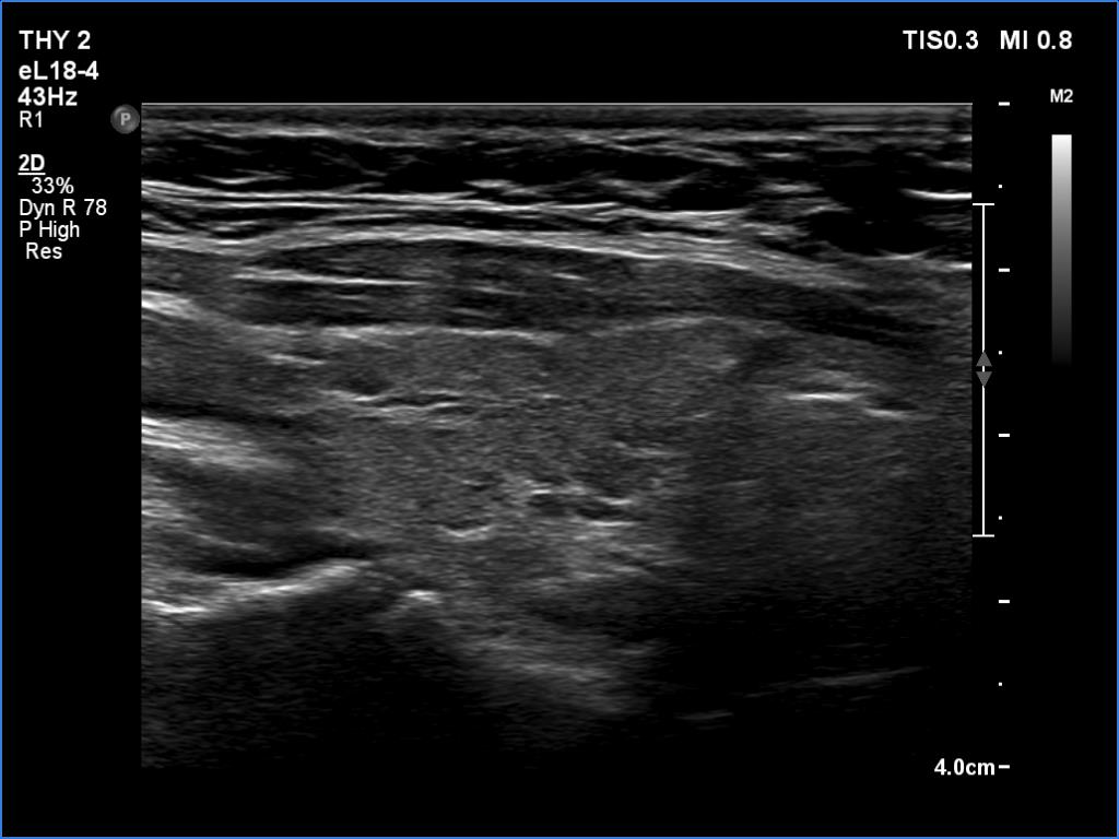
Right lobe, longitudinal scan

Right lobe, longitudinal scan - set to higher level of harmonization.

 

 

 

 

mask