Lymphocytic thyroiditis - case 325 (ultrasonographic picture 9)


Previous picture Back to Case Next picture

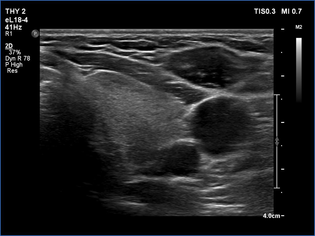
Right lobe, longitudinal scan

Left lobe, transverse scan. This lobe also has discrete areas.

 

 

 

 

mask