Lymphocytic thyroiditis - case 41
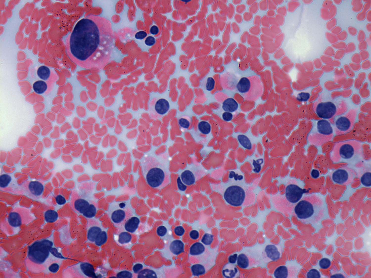
Follow-up investigation 2 years later (cytologic picture 4)
|
|
|
|
|
Pap-smear, 400x. Neither the nuclear enlargement nor the mild pleomorphism has any relevance in the event of Hashimoto's thyroiditis. We cannot unequivocally decide whether the smaller cells are lymphocytes or follicular cells.

