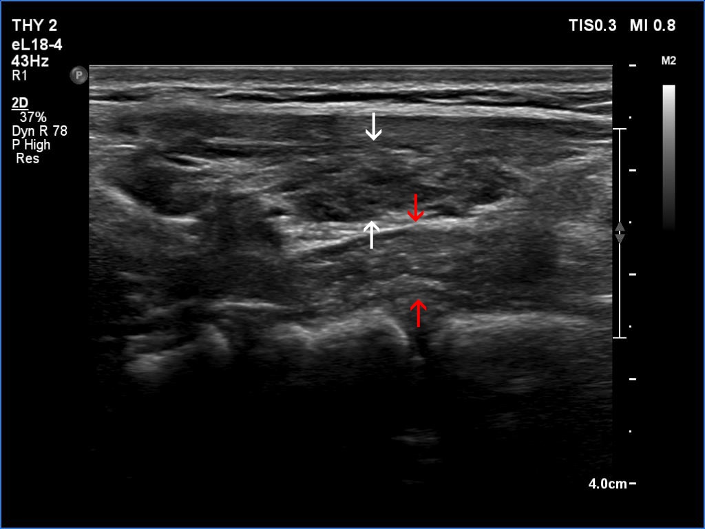
Lymphocytic thyroiditis - case 445 (ultrasonographic picture 4b)
|
|
|
|
Left lobe, longitudinal scan. Note that the depth of the thyroid (the distance between the white arrows) does not exceed that of the esophagus (the distance between the red arrows).
