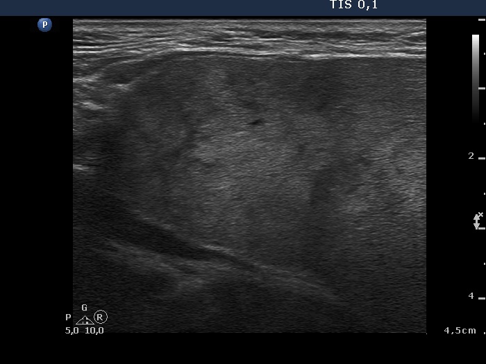
Lymphocytic thyroiditis - case 477 (ultrasonographic picture 2)


Previous picture Back to Case Next picture

Right lobe, longitudinal scan

Upper part of the right lobe, longitudinal scan. A pseudonodular pattern is demonstrated.

 

 

 

 

 

 

mask