Lymphocytic thyroiditis - case 512 |
|
Clinical data: A 44-year-old woman was referred for evaluation of an elevated aTPO level detected on screening. She had no complaints.
Palpation: no abnormality.
Laboratory tests: TSH 4.51 mIU/L, aTPO 207 U/mL.
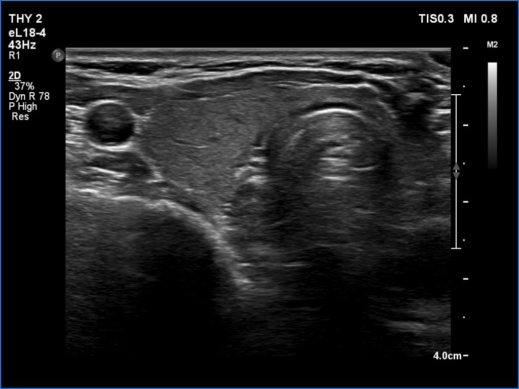
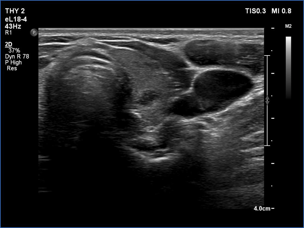
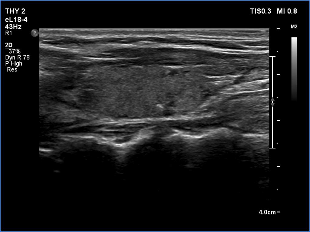
Ultrasonography. The thyroid was minimally hypoechoic and had several deeply hypoechoic discrete lesions. The latter had irregular margins and corresponded to more active foci of thyroiditis.
Suggestion: TSH in a year.
Comment. This is one of the most common presentations of autoimmune thyroiditis.





