Lymph nodes in the neck - Case 1160 (cytologic picture 5)

Previous picture Back to Case Maximize Next picture

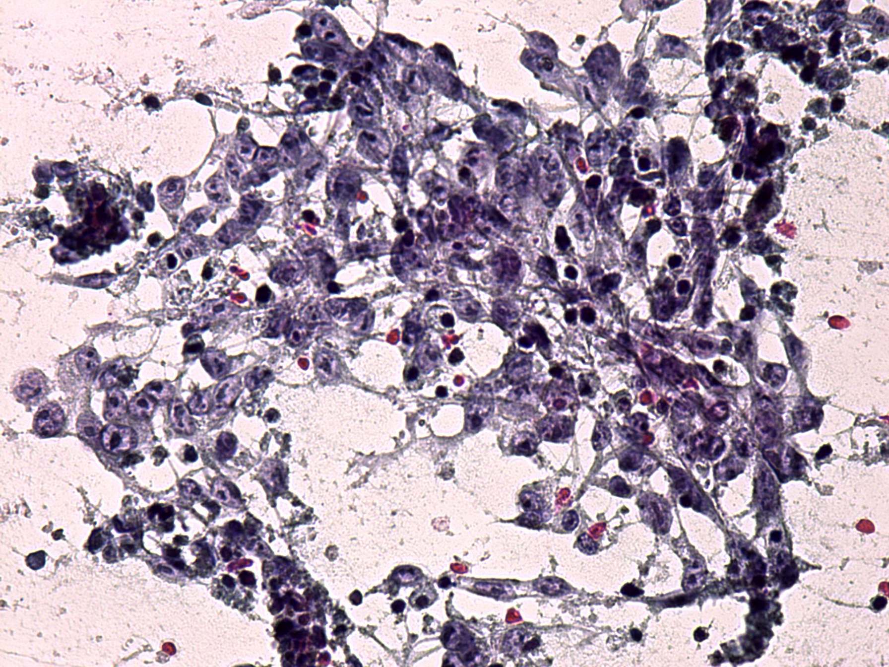
Pap-smear, 400x.    A disarranged structure of cells.

mask