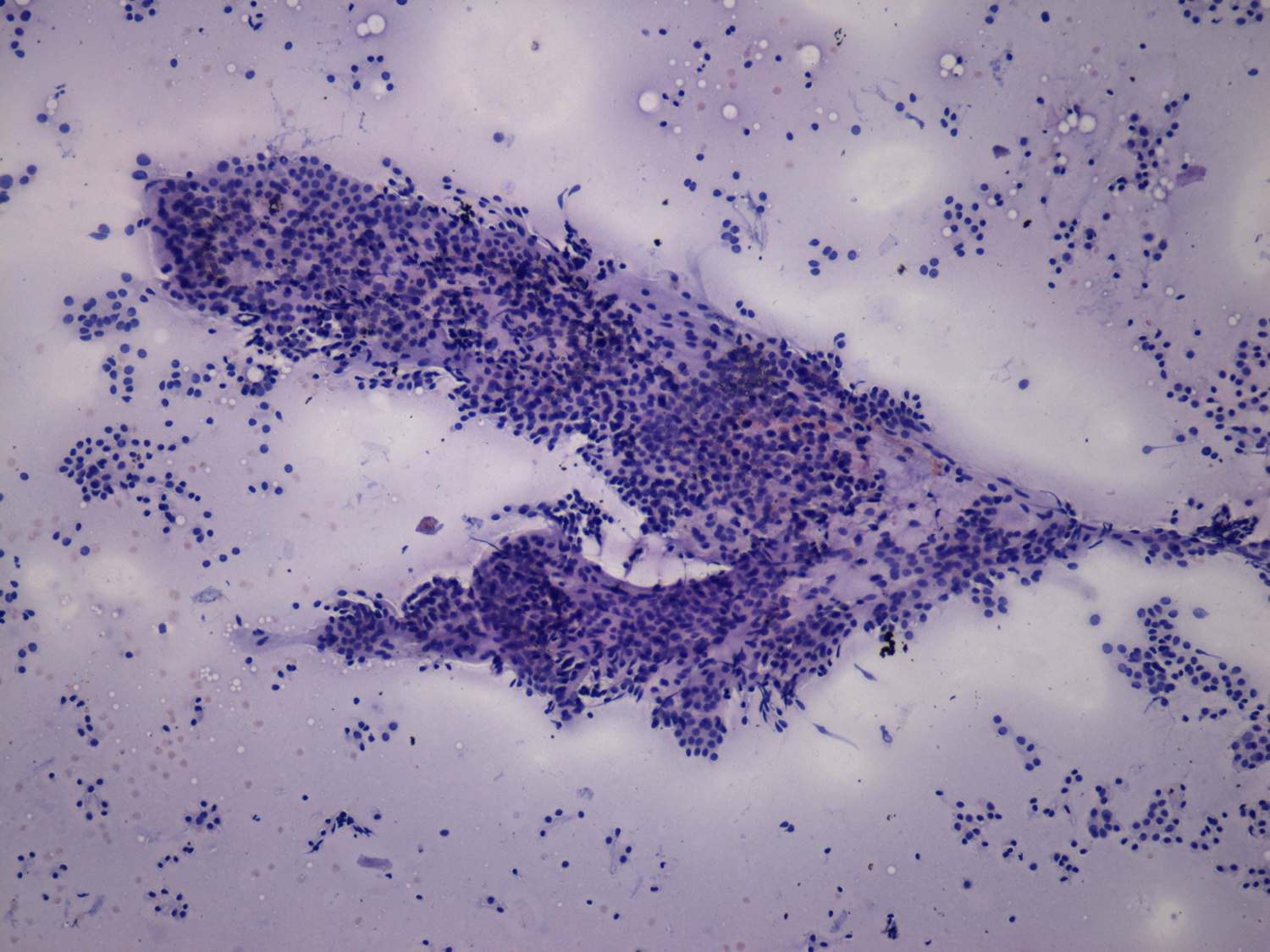
Lymph nodes in the neck - Case 123 (cytologic picture 1 of the thyroid)
|
|
|
|
|
Pap-smear, 100x. There is diffuse colloid precipitate in the background. Follicular cells occur in hyperplastic papillary fragments, in microfollicles and dissociated.

