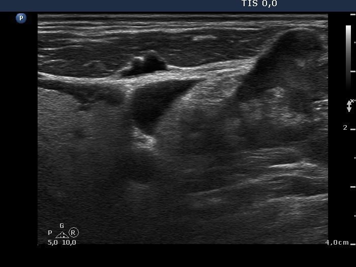
Lymph nodes in the neck - Case 154 (ultrasonographic picture 8)
|
|
|
|
Left lobe and left supraclavicular region, transverse scan. The intact left thyroid (left in the image) and a metastatic lymph node in the supraclavicular region (right in the image) in a common field of vision.
