Lymph nodes - case 1675 (ultrasonographic picture 14)


Previous picture Back to Case Next picture

Right lobe, longitudinal scan

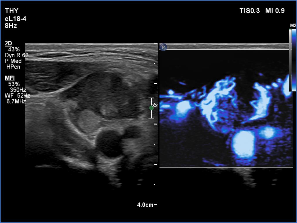
Right submandibular area, transverse scan, microflow imaging. The mass is rich in vessels.

 

 

 

 

mask