Lymph nodes - case 382 (cytologic picture 7)


Previous picture Back to Case Maximize Next picture


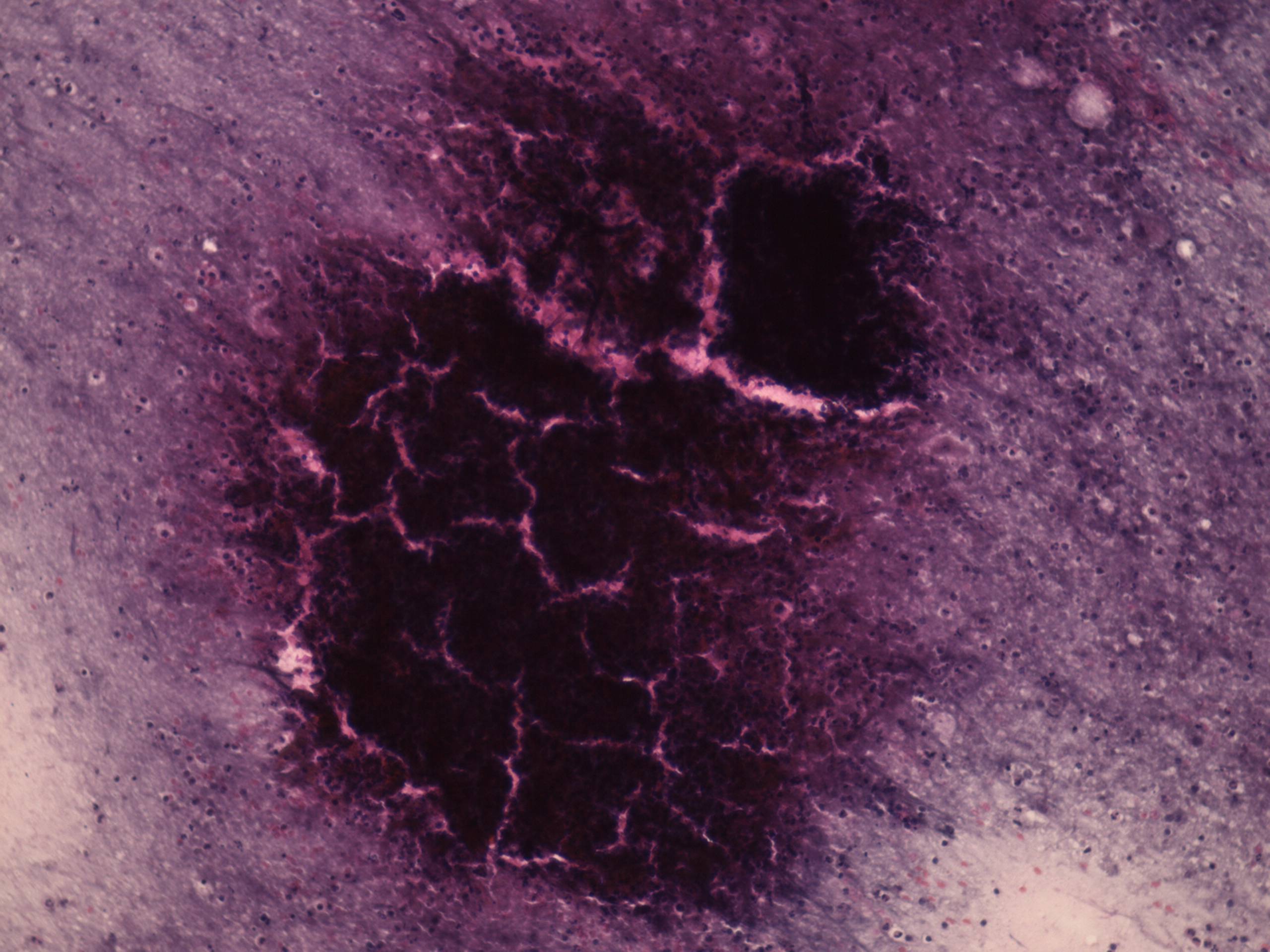
Pap-smear, 400x.   Inflammatory cells in necrotic background.

mask