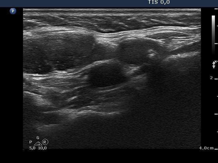
Lymph nodes in the neck - Case 674 (ultrasonographic picture 10)
|
|
|
|
Right submandibular area, longtudinal scan. The tumorous node left in the image while a reactive-type lymph node right in the image.
