Parathyroid lesions - case 42 |
|
Clinical data: A 37-year-old woman was referred for evaluation of a thyroid nodule detected on screening. She had no complaints.
Palpation: An elastic lesion could be palpated in the lower part of the right thyroid.
Laboratory test: TSH 3.74 mIU/L.
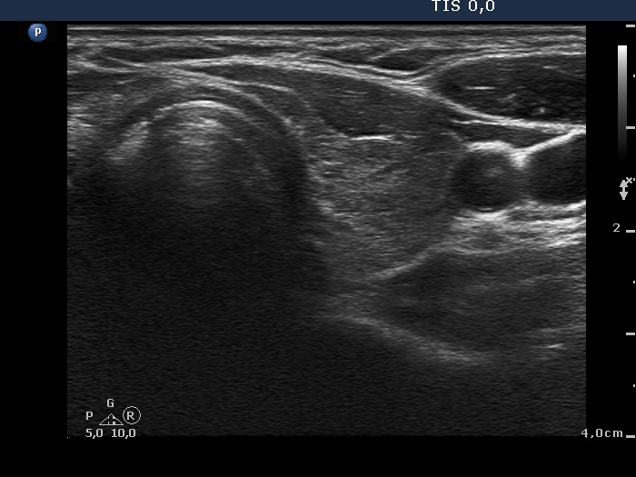
Ultrasonography: The thyroid was minimally-moderately hypoechogenic and presented fibrosis. There was a cystic lesion in the lower dorsal part of the right thyroid bed.
Twelve mL cystic fluid was aspirated. There were no cells on the smear.
Further laboratory tests aTPO 308 U/mL, calcium 2.25 mM/L, phosphorus 1.11 mM/L, parathormone 40.9 pg/mL (normal range: 10-65). The parathormone content of the cystic fluid was 383 pg/mL.
Final diagnosis: Hashimoto's thyroiditis in euthyroid state. Parathyroid cystadenoma.









