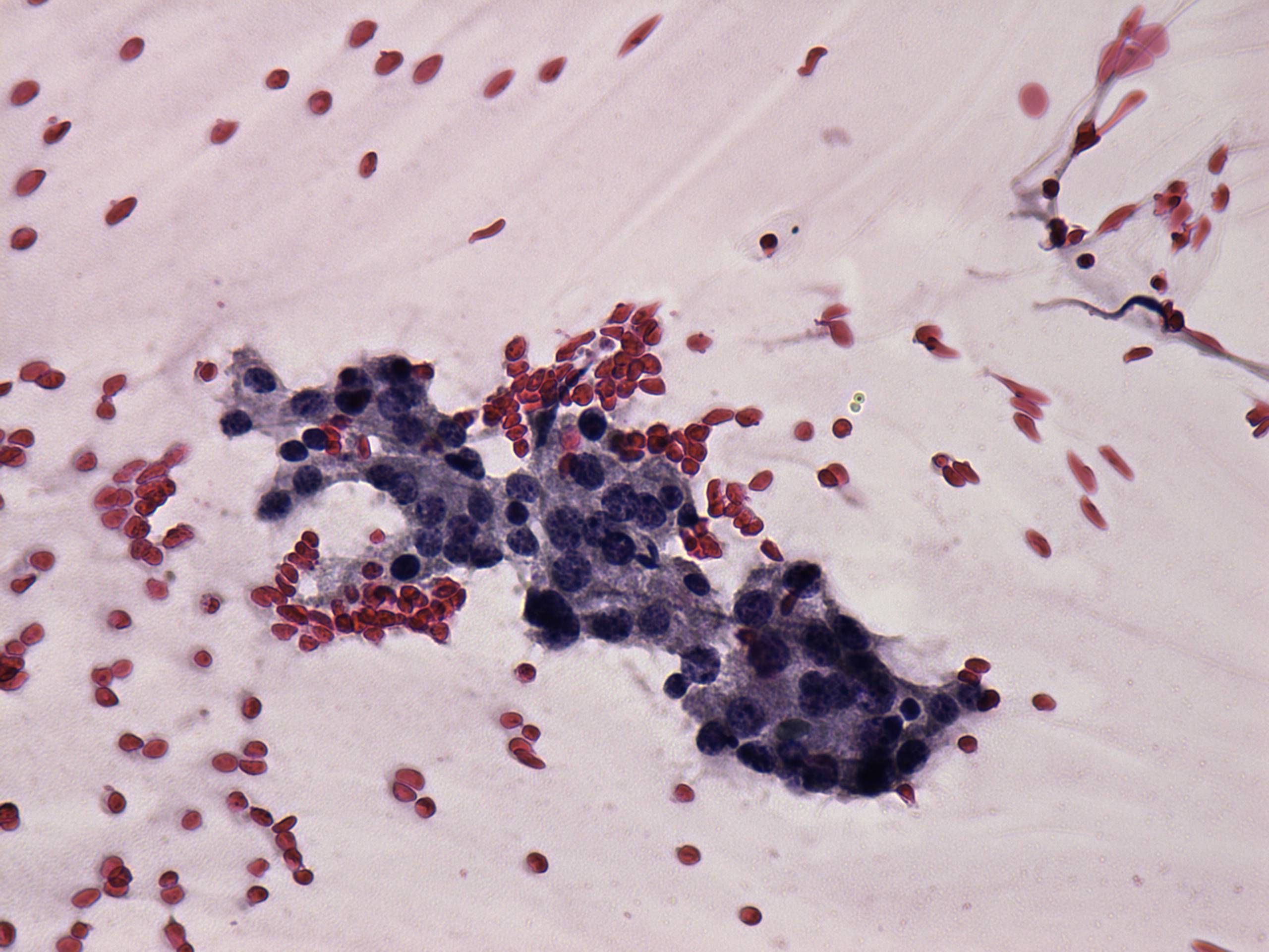
Parathyroid lesions - case 447 (cytologic picture 5)


Previous picture Back to Case Maximize Next picture

Right lobe, longitudinal scan

Pap-smear, 400x.   There are several dark, hyperchromatic nuclei.

 

 

 

mask