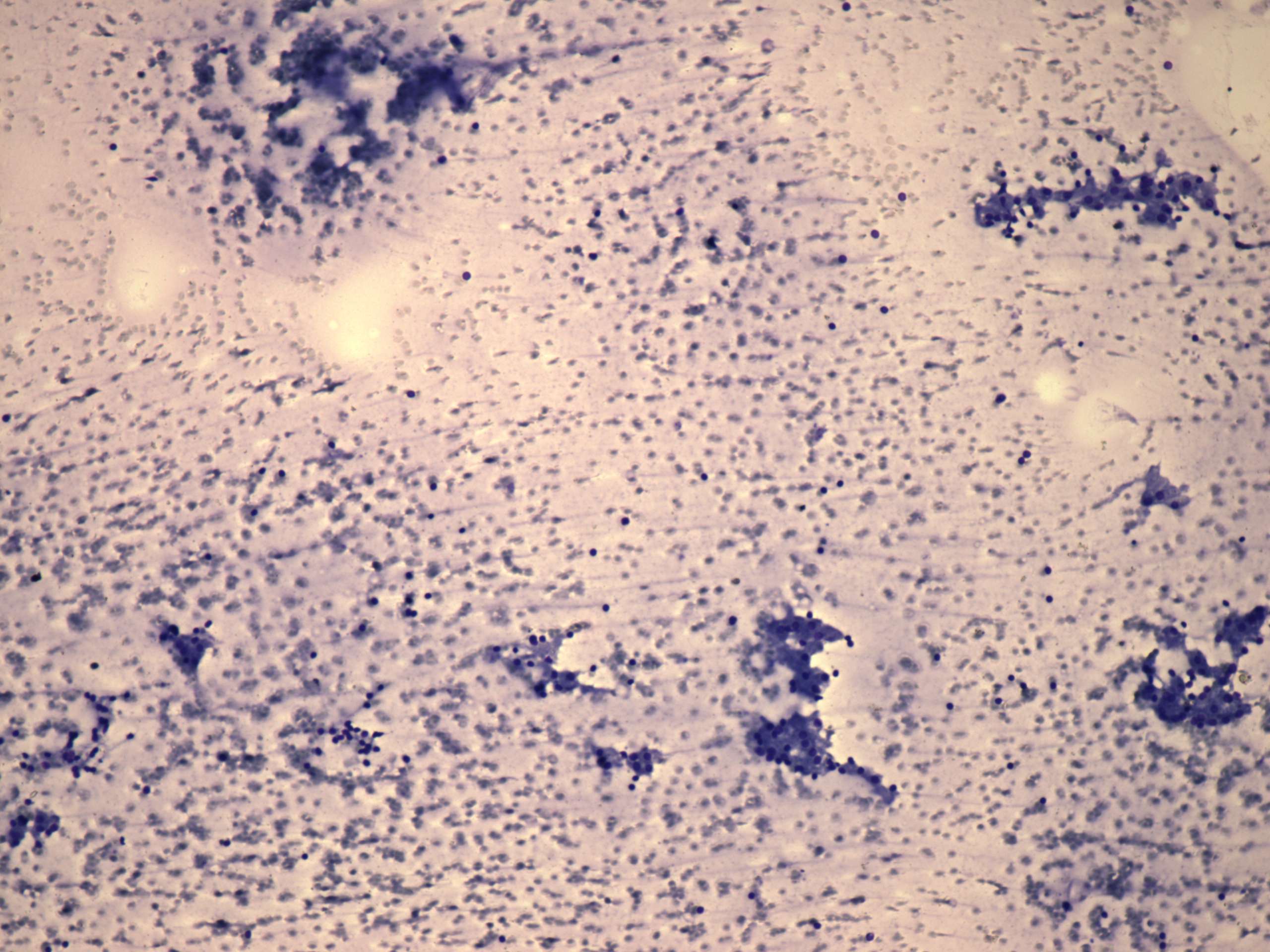
Parathyroid lesions - case 907 (cytologic picture 1)
|
|
|
|
|
Wright-Giemsa staining, 100x. There is no colloid in the background. Epithelial cells are in loose clusters.

