Parathyroid lesions - case 907 (cytologic picture 5)


Previous picture Back to Case Maximize Next picture


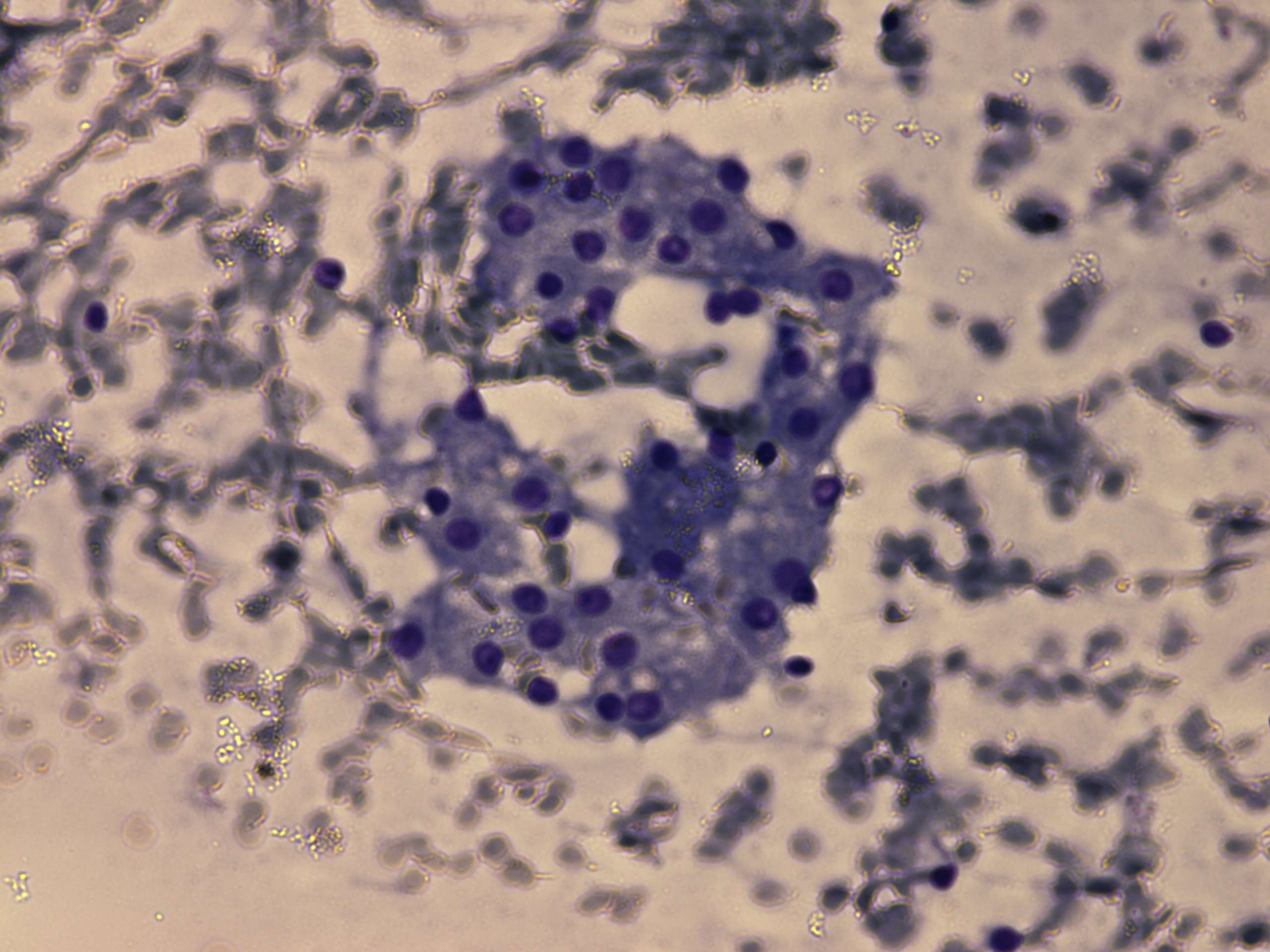
Wright-Giemsa staining, 400x.   A monomorphous population is presented.

mask