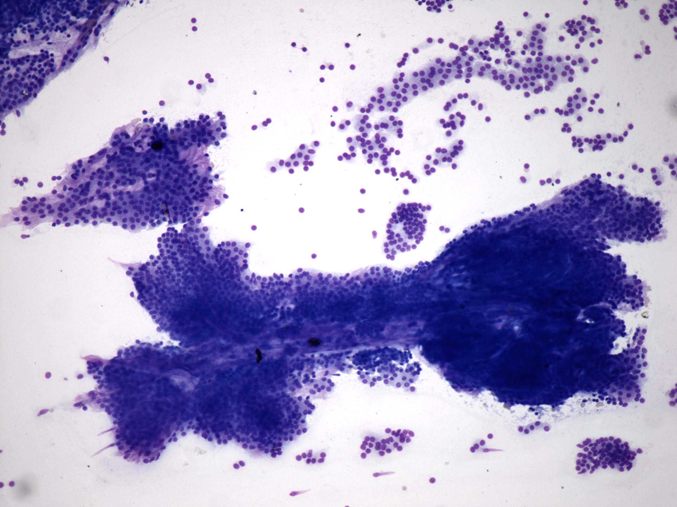
Parathyroid lesions - case cons100_028 (cytologic picture 1)
|
|
|
![]() |
|
Wright-Giemsa staining, 100x. There is no colloid in the background. Follicular cells are located in monolayered sheets and in three-dimensional papillary groups.

