Parathyroid lesions - case cons100_028 (cytologic picture 3)


Previous picture Back to Case Maximize Next picture

Right lobe, longitudinal scan

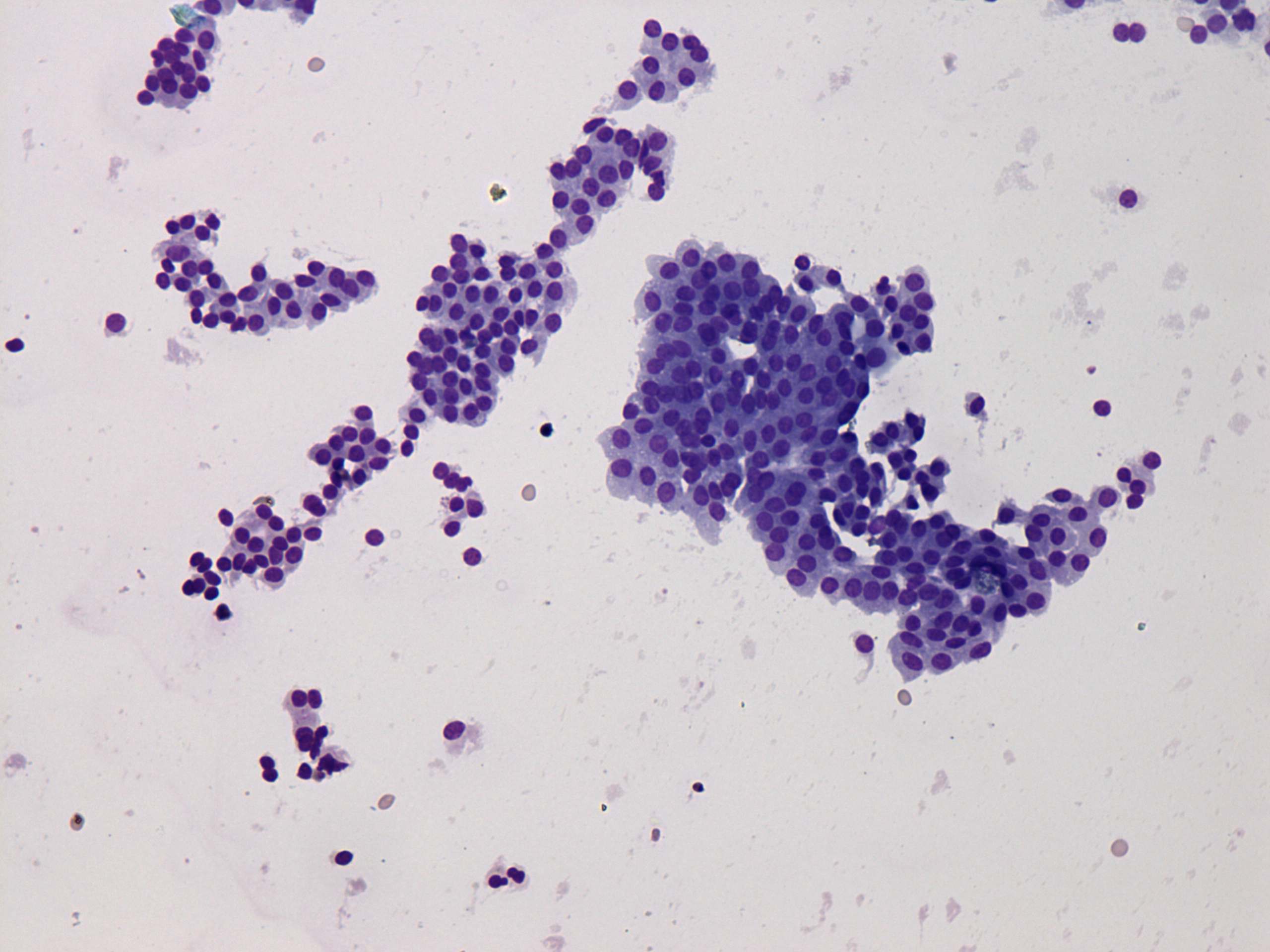
Wright-Giemsa staining, 200x.  Follicular cells are of even size.

 

 

 

 

 

mask