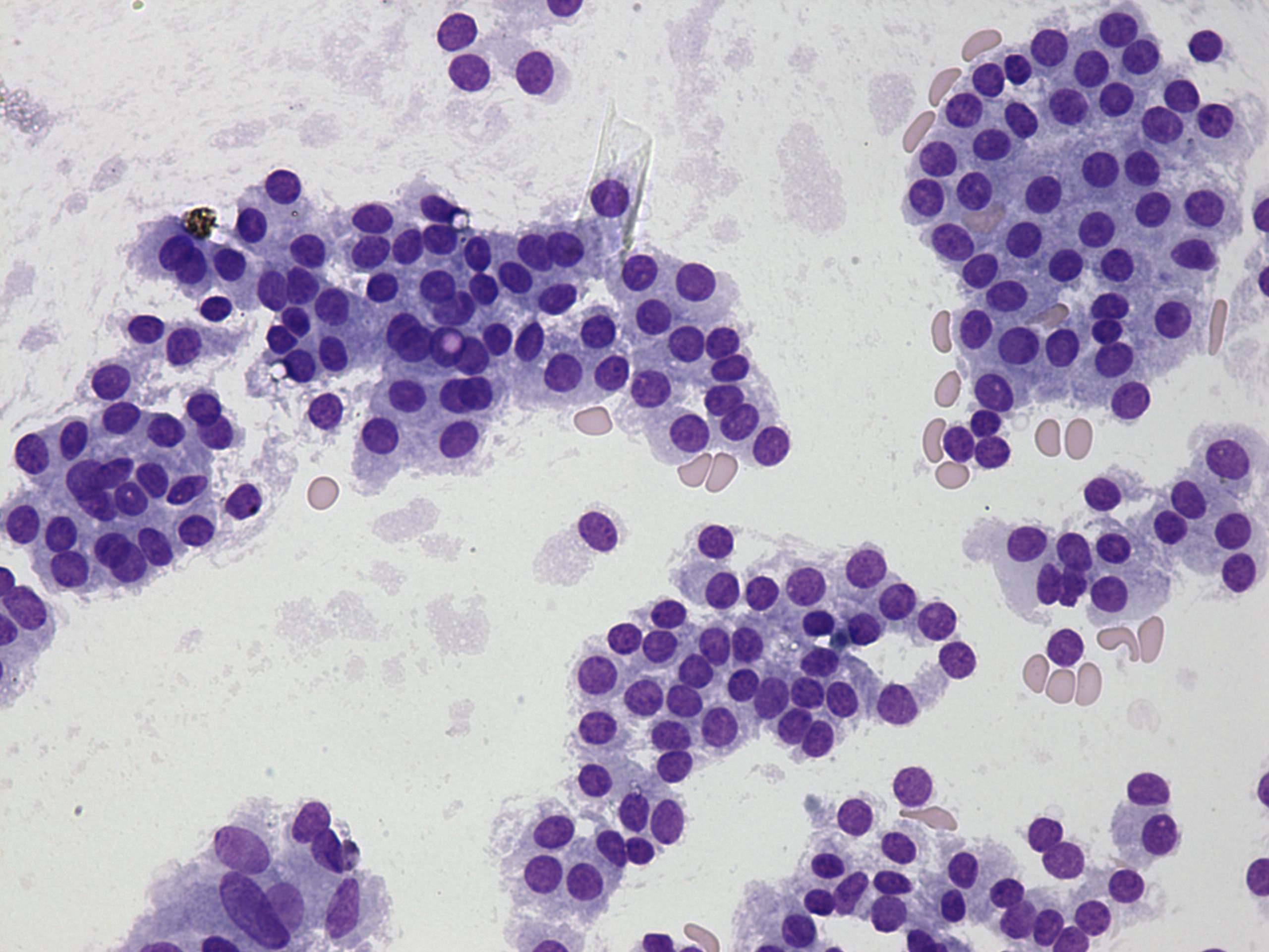
Parathyroid lesions - case cons100_028 (cytologic picture 5)


Previous picture Back to Case Maximize Next picture

Right lobe, longitudinal scan

Wright-Giemsa staining, 400x.   A few atypical, elongated cells were present.

 

 

 

 

 

mask