Menu
2022-23 Advanced Papillon Course
Home
Case of the Month
Webinars
1 Introduction
2 Nodular goiter
3 Non-nodular thyroid
4 Non-thyroid neck
5 US-interventions
6 Advanced courses
Teamwork
Chapter Home
Introduction
Manual
Courses
Cases
Videolibrary
7 Related topics
Supplement
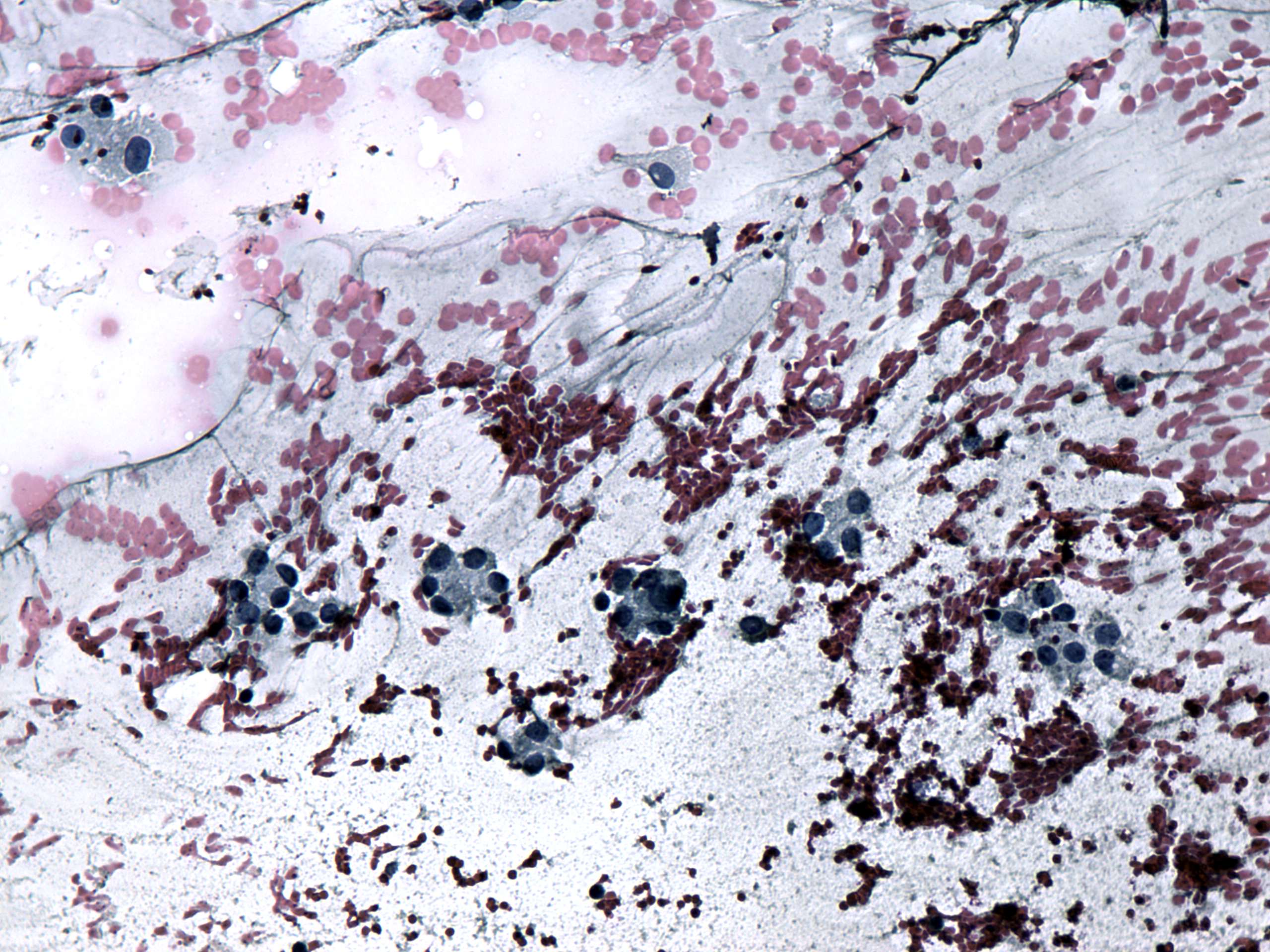
Teamwork - case 1527 (cytologic picture 2)
Pap-smear, 200x. Microfollicles predominated the smear.