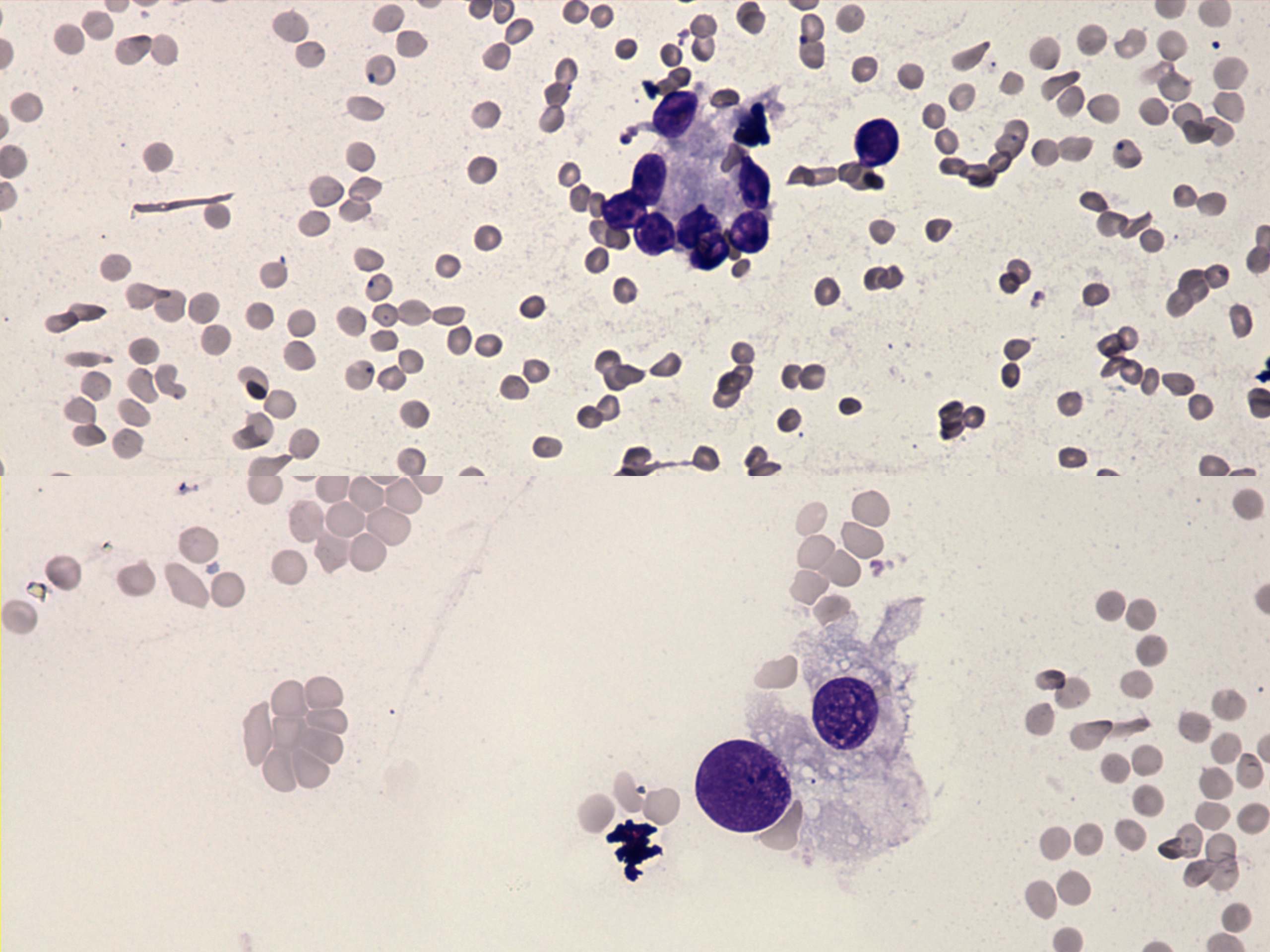
Teamwork - case 1646 (cytologic picture 5)
|
|
|
![]() |
|
Wright-Giemsa staining, 400x. There is an irregular microfollicle in the upper part of the image which shows nuclear crowding. The two cells in the lower part present cytoplasmic vacuolization.

