Teamwork - case 201 (ultrasonographic picture 4)


Previous picture Back to Case Next picture

Right lobe, longitudinal scan

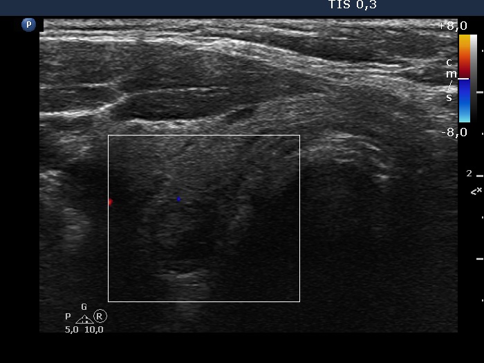
Right lobe, transverse view, color Doppler mode. The lobe is avascular.

 

 

 

 

mask