Teamwork - case 375 (cytologic picture 7)


Previous picture Back to Case Maximize Next picture

Right lobe, longitudinal scan

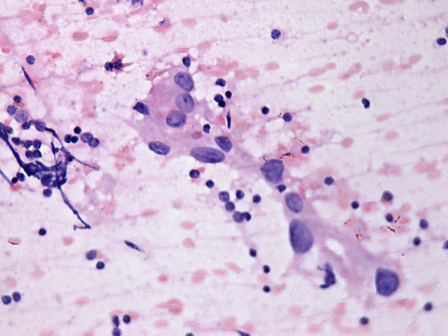
Pap-smear, 400x.   A follicular cell with an intranuclear groove. Oxyphilic cells present pleomorphism.

 

 

 

mask