Teamwork - case 378 (ultrasonographic picture 9b)


Previous picture Back to Case Next picture

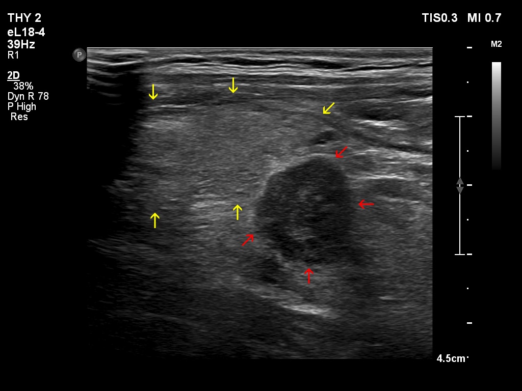
Right lobe, longitudinal scan

Left thyroid bed, longitudinal scan. The thyroid parenchyma is marked with yellow arrows, while the hypoechoic mass is with red ones.

 

 

 

 

mask