Teamwork - case 469 (cytologic picture 4)


Previous picture Back to Case Maximize Next picture

Right lobe, longitudinal scan

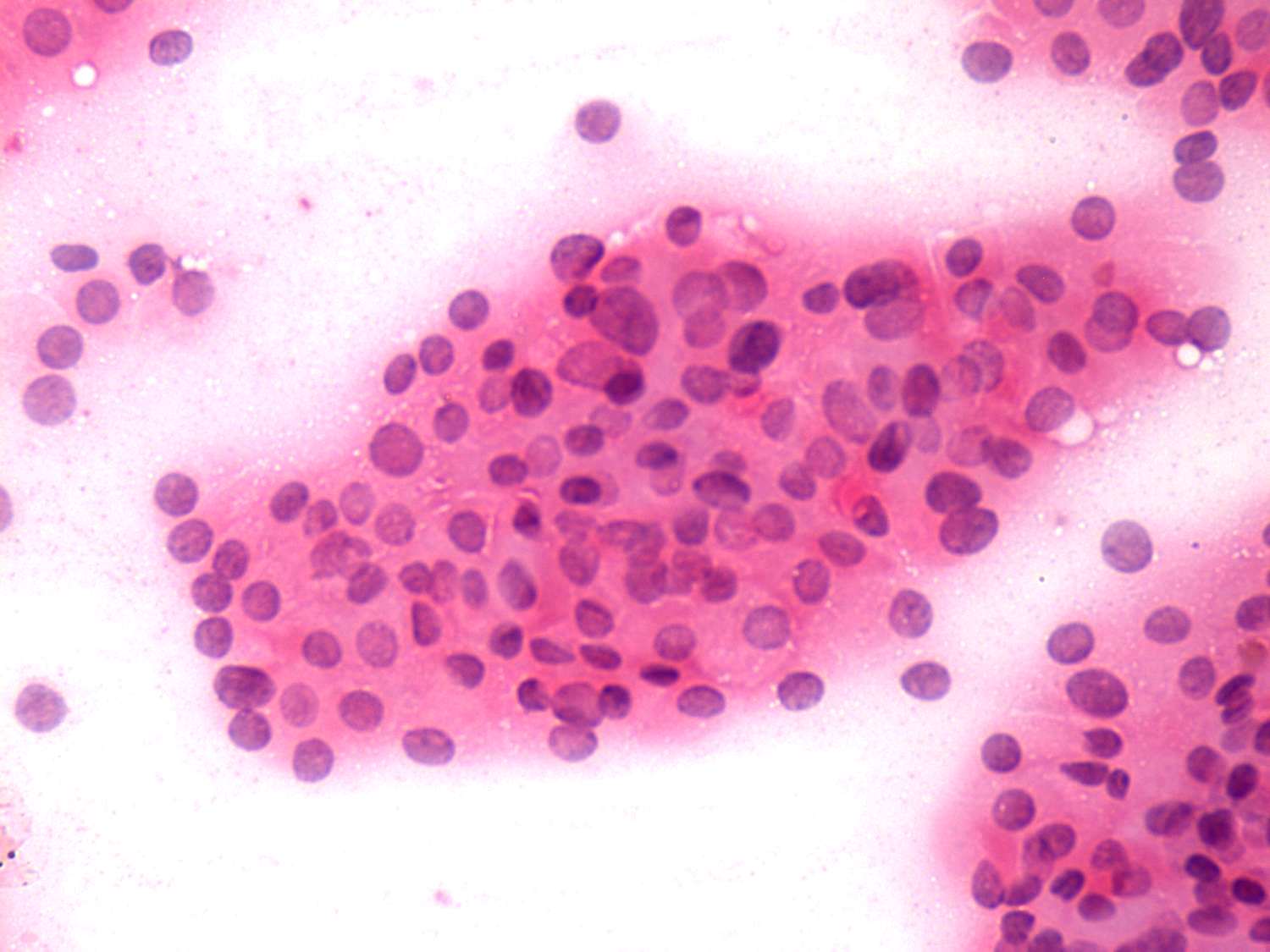
Pap-smear, 400x (intraoperative imprint)  A few pleomorphic forms can be found.

mask