Teamwork - case 643 (cytologic picture 6)


Previous picture Back to Case Maximize Next picture

Right lobe, longitudinal scan

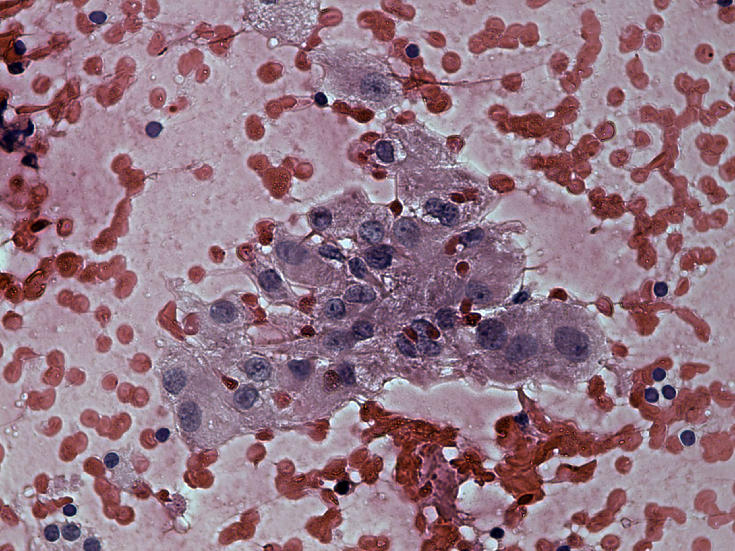
Pap-smear, 400x.  Atypical, enlarged oxyphilic cells mixed with lymphocytes. Note prominent nucleoli.

 

 

 

mask