Teamwork - case 643 (cytologic picture 8)


Previous picture Back to Case Maximize  

Right lobe, longitudinal scan

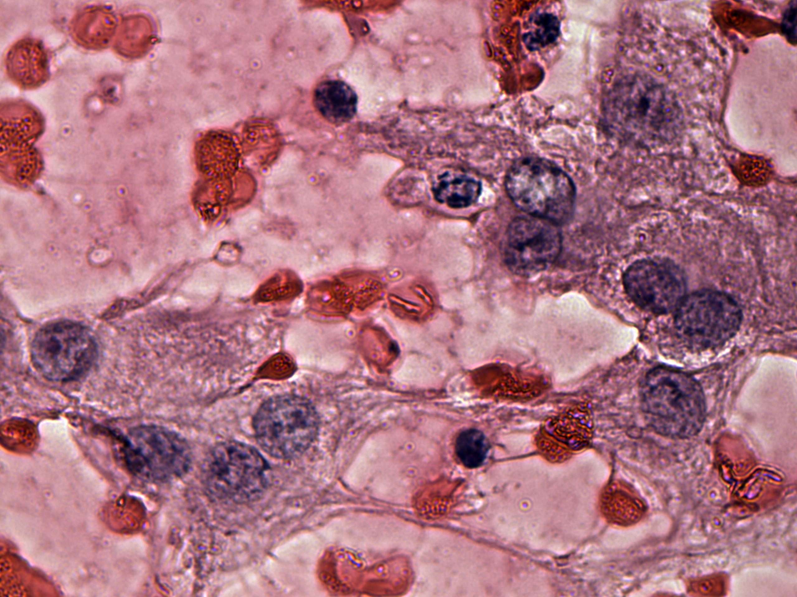
Pap-smear, 1000x.   Atypical, pleomorphic forms are demonstrated.

 

 

 

mask