Teamwork - case conp 060 (cytologic picture 11)


Previous picture Back to Case Maximize Next picture

Right lobe, longitudinal scan

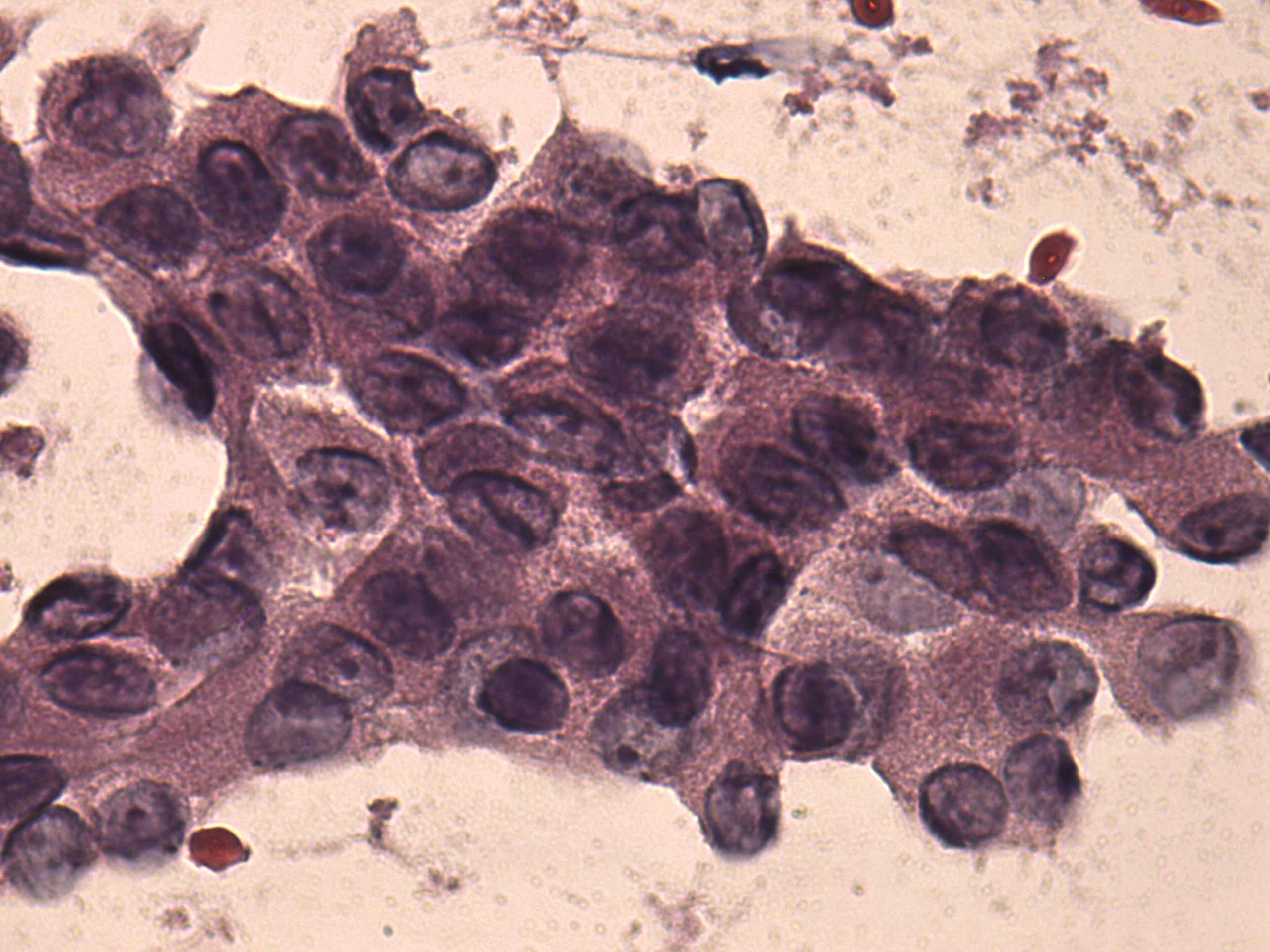
Pap-smear, 1000x.  Great proportion of cells present typical groove.

 

 

 

 

 

mask