Case 1424 |
|
Clinical presentation: A 72-year-old woman was referred for aspiration cytology of a multinodular goiter. The patient has been treated for hyperthyroidism for 7 months. She had difficulties in swallowing. Thyroid scintigraphy revealed multiple nodules with decreased and normal uptake. The TSAb level was elevated at the onset of the hyperthyroidism (8.1 U/L).
Palpation: a multinodular goiter.
Laboratory tests: TSH 11.3 mIU/L, FT4 7.94 pM/L on daily 15 mg methimazole therapy.
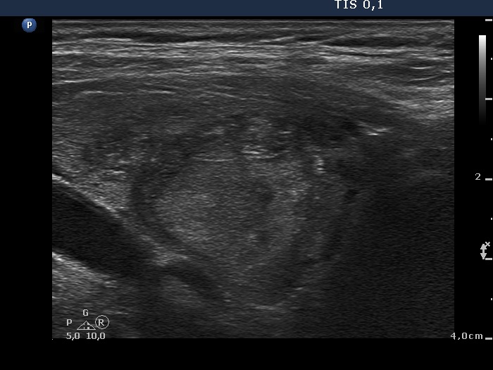
Ultrasonography. The thyroid was minimally hypoechogenic and had multiple discrete lesions which were mostly echonormal. The thyroid had a pseudonodular pattern. There were several hypoechogenic discrete areas.
Cytology from a hypoechogenic lesion in the lower pole of the left lobe resulted in benign colloid goiter.
Histopathology disclosed diffuse goiter and benign hyperplastic nodules in both lobes.





